
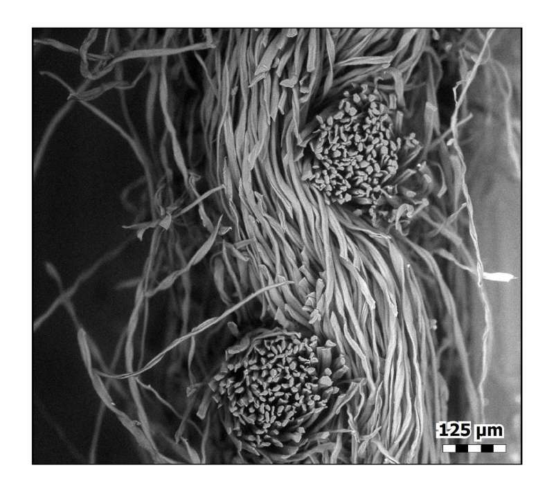
Scientists and researchers wanted to know what actually happens when you wear a cloth face mask. So, they put various masks under a scanning electron microscope. The results are impressive and enlightening. We see bundles of fibers, both of cotton and polyester, and the way they form barriers to airborne particles like Covid-19. Some beautiful, enlightening detail. Via National Institute of Standards and Technology.

“A team of researchers took this approach when studying the fabric masks that people wear to slow the spread of COVID-19. Those masks work by blocking some of the virus-filled droplets and smaller particles, called aerosols, that an infected person exhales, and they also offer some protection to the wearer by filtering incoming air. The researchers wanted to know how well different fabrics filter out those particles and what makes some fabrics better filters than others.”







The post Here’s a Very, Very Close Up View of Your Cloth Mask appeared first on Moss and Fog.
